Damar sertliği, ileri yaş grubundaki insanlar arasında büyüyen bir sorun olarak karşımıza çıkıyor. Bu sorun, kan damarlarının sertleşip daralmasıyla kan akışının azalmasına neden oluyor ve özellikle bacak damarlarında tıkanıklıklara yol açabiliyor. Ancak teknolojik ilerlemeler sayesinde bu konuda büyük yenilikler yaşanıyor.
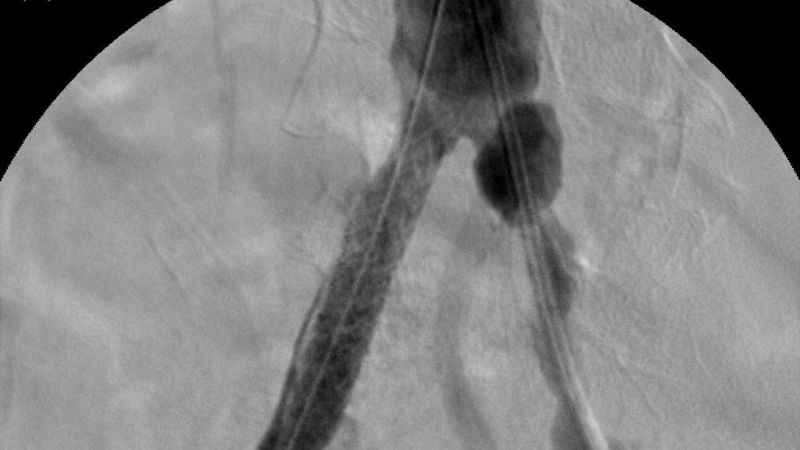
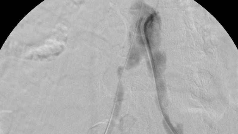
Özellikle anjiyografik yöntemlerle ameliyat gerektirmeden tedavi olanağı sunuluyor. Balon, stent ve damar tıraşlama yöntemleri, bu tedavilerin başında geliyor. Bu tedavilerde kullanılan tıbbi cihazların üretimi bir zamanlar yalnızca belirli ülkeler tarafından yapılırken, artık Türkiye kendi cihazlarını üreterek dünya sahnesinde yer alıyor. Bu alanda yaşanan en büyük yeniliklerden biri de "stent greft" teknolojisi oldu. Üretimi dünyada sadece 5 ülke tarafından yapılan stent greft üretimi ile Türkiye, tıbbi inovasyon alanında tarihi bir başarıya imza attı. Bu büyük adım Türkiye'nin sağlık teknolojilerindeki gelişimini küresel arenada da tescilledi.
Türkiye'nin ilk yerli stent grefti Bezmiâlem Vakıf Üniversitesi Tıp Fakültesi'nde Prof. Dr. Cengiz Köksal ve Doç. Dr. Emre Selçuk'un öncülüğünde Artven koordinasyonuyla bir hastaya başarıyla uygulandı. Doç. Dr. Emre Selçuk, bu büyük adımı şöyle değerlendirdi:
"Stent-greft teknolojisi, damar tedavilerinde kritik bir rol oynuyor. Damar balonlaşması veya yaralanma riski olan hastalarda bu teknolojinin önemi daha da artıyor. Artık bu teknolojiyi Türkiye'de üretiyor olmamız, operasyon başarımızı artırmanın yanı sıra, hasta güvenliğini de üst seviyelere taşıyacaktır. Türkiye'nin tıbbi alandaki bu başarısında yer almaktan büyük gurur duyuyoruz. Atlas Stent Greft, Türk mühendisliğinin ve Türk doktorlarının inovasyonunun ne kadar ileri seviyede olduğunun bir göstergesidir."




Yorum Yazın